受付時間
9:00-12:30/14:00-18:00(土曜日 8:00-13:00/14:00-17:00)
ご予約・お問い合わせ
072-847-8241

症例紹介

Case of each diseaseそれぞれの症例のご紹介

『医療機関ホームページガイドライン』の対応について

現在当医院のホームページは、2018年6月に厚生労働省にて改定された「医療広告ガイドライン」に従い、改修工事を行っています。
具体的な改修項目はつぎのとおりです。

  • 自由診療の治療内容、費用についての情報提供
  • 自由診療についての治療リスク、副作用についての情報提供

本多歯科ではこの改正を受けて、より患者さまにわかりやすくご理解いただける表記を行いたいと考えています。 改修が済むまでの間、患者さまにはご不便をおかけいたしますが、ご理解のほどお願いいたします。

本当の歯科治療をあなたに

本多歯科では、高い歯科技術を持ったドクターが、患者様ひとりひとりと向き合い、本当の歯科治療をご提供致します。 「自分の口の中だったら、このように治療してほしい」「家族の口の中だったら、こんなふうに治療してあげたい」ということを念頭に診療・考察を行います。

more

Insurance Beauty Treatment保険の審美治療

高強度審美レジン修復

当院では3M社製コンポジットレジンを使用しています。強度が高く、透明感もあり、綺麗な修復を行えます。前歯の小さな虫歯や歯と歯の間の虫歯、奥歯の上の面の虫歯に適しています。

Before:前歯の間の虫歯を取り形を整えます。

After:高強度審美レジンを詰めて研磨します。

治療費用

コンポジットレジン修復 
約¥750~1,000/本(3割負担)

CAD-CAMハイブリッドレジン

歯科用コンピュータ設計製造機器で製作する、保険適応のメタルフリー審美補綴です。 小臼歯に適応されます。歯ぎしりをする方や歯が小さい方にはあまりおすすめしていません。

Before:失活歯の場合、保険適応のファイバーコアで歯の形を整えます。

After:CADCAMで作製したハイブリッドレジン冠を装着します。

治療費用

CADCAMハイブリッドクラウン 
約¥7,500/本(3割負担)

Whiteningホワイトニング

オフィスホワイトニング
(歯科医院で行うホワイトニング)

“いつでも白い歯に生まれ変われる”
当院のホワイトニングは、優れた漂白性と安全性に実績のあるビヨンドホワイトニングシステムを採用しています。 個人差はありますが、5段階シェードアップが期待でき、さらに斑がなくより自然で美しい歯を手に入れていただけます。2dayホワイトニングをおすすめしています。
※失活歯や差し歯には効果が期待できません。

症例1

Before:前歯の黄ばみが気になり、歯を白くしたいと来院。

After:カウンセリング後、2dayホワイトニングしました。

症例2

Before:前歯の着色を除去希望で来院。

After:PMTCのあと、2dayホワイトニングしました。

治療費用

【オフィスホワイトニング】
初回:¥10,000
2回目:¥10,000
3回目:¥8,000
※ただし2回目の診療から2ヶ月以内に来院頂いた方に限ります。)
PMTC(保険適応)

ホームホワイトニング
(ご自宅で行っていただくホワイトニング)

“お手軽に、お気軽に好きなときに白くする”
当院のホームホワイトニングは、GC社の「TION」を採用しています。比較的低濃度の薬剤を使用し、ジェル性状やトレー素材の工夫で効果を向上します。ジェルは白色状になっており、薬剤が多すぎて溢れ出た場合でも確認しやすいなど、安全性も考慮されています。

治療費用

【ホームホワイトニング】 ¥30,000

Ceramic Front Teeth前歯のセラミック

ジルコニアセラミッククラウン

“透明感や色調など、すべてが天然歯のような歯”
高強度セラミックス「ジルコニア」をフレームに使用し、その上に透明性や色調再現性の高いセラミックを築成します。
メタルフリーでより天然歯に近い色合いと形態の歯を仕上げることができます。また、歯や歯ぐきとの相性も良く、お身体にとっても優しい治療です。

症例1

Before:歯の変色を主訴に来院されました。

After:オフィスホワイトニングをしたあと、ジルコニアオールセラミックを装着。

治療費用

ビヨンドホワイトニング ¥10,000/day

ジルコニアオールセラミック ¥100,000/歯

症例2

Before:金属冠(右上1左上2)による歯ぐきの変色とレジン修復の着色が気になる。

After:メタルボンドはジルコニアセラミックへ、レジン樹脂は詰め替えました。

治療費用

ジルコニアセラミック ¥100,000/歯

審美レジン修復 約¥1,000/歯(保険適応)

セラミックによる
矯正の症例もご覧ください

レーザーボンドクラウン

コバルトクロム金属とセラミックをレーザー鋳造技術を用いて製作します。 強度や耐久性に優れています。透明感はジルコニアセラミックには劣りますが、歯の切削量や形成量が少なくて済むため、歯が薄い方などで形成量を確保できない方のおすすめです。

治療費用

レーザーボンドクラウン ¥100,000

ラミネートベニア

歯のエナメル質の表面を0.5~1.0㎜削合し、歯の表面にセラミックで作製したベニアを接着する治療方法です。 歯の間が離れている方や歯の形を変えたい方、レジンの変色が気になる方におすすめです。

※神経の生きている前歯にのみ適応

Before:左上前歯の破折と全体的な着色を主訴に来院

Treatment:ホームホワイトニングをした後、型取りをして色合わせをします。

After:天然歯の光沢感と透明感を変えずに、歯の形も左右対称になりました。

治療費用

ラミネートベニア ¥80,000/歯

ホームホワイトニング ¥30,000(約10日分)

審美レジン修復 約¥1,000/歯(保険適応)

Ceramic Back Teeth奥歯のセラミック

E-maxインレー

E-maxセラミックスは、「審美性」「安定性」「生体親和性」「歯に近い硬度」を兼ね備えた材料です。歯に近い硬度のため周囲の歯にも優しく、透明感や耐久性にも優れています。歯垢がつきにくく、変形や腐食を起こさず、二次う蝕にもなりにくい材料です。

※臼歯部のみ適応

Before:保険の銀歯の見た目が気になり来院。

Treatment:銀歯を外すと金属の変形による虫歯を認めました。

After:虫歯を取ったあと、E-maxインレーを装着しました。

治療費用

E-maxインレー ¥50,000/歯

ゴールドインレー

ゴールド(純金)は、金属が安定しているため金属イオン流出が起きにくく、細部再現性が高いので、適合やフィットが抜群に良いとされています。
また、ゴールドの硬さは歯に類似しているため噛み心地も良いです。見た目の気にならない、上顎の大臼歯や下顎の最後方臼歯に適しています。

Before:上顎の第一大臼歯の隣接面にう蝕(虫歯)ができた症例です。

Treatment:虫歯になっているところを除去し、形を整えます。

After:ゴールドで作製したインレーを装着します。

治療費用

ゴールド修復 ¥40,000~(金属使用量による)

ジルコニアE-maxプレスクラウン

高強度ジルコニアセラミックスをフレームに使用し、透明感や審美性に優れたE-maxセラミックスを真空プレスして作製します。
強度や耐久性だけでなく、審美性や生体親和性にも優れ、お口に調和する奥歯を再現できます。

※臼歯部に適応

Before:右下の奥歯の脱離と銀歯の見た目が気になり来院。

After:銀歯をセラミックにしたおかげでお口がさらに明るい印象になりました。

治療費用

ジルコニアE-maxプレス ¥100,000/歯

オールジルコニアクラウン

ジルコニアは、「軽量」「安全性」「生体親和性」「高強度」を併せ持つセラミック材料です。医療分野では、人工関節にも使用されています。
見た目は他のセラミック治療よりは劣りますが、身体に優しく、耐久性や耐食性、強度と靭性に優れています。

※臼歯部のみ適応

Before:金属アレルギーのため銀歯を除去希望で来院。

After:見た目の改善と金属アレルギー症状の回復を認めました。

治療費用

オールジルコニア ¥60,000/歯

E-maxインレー ¥50,000/歯

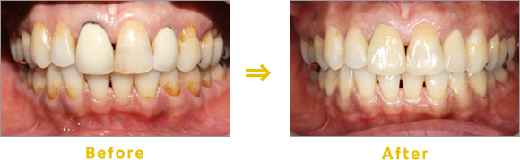
メタルボンドクラウン

長年にわたり歯科審美材料として利用されてきた歴史ある治療法です。 金属フレームの上にセラミックを焼き付けて製作するため、「陶材焼付鋳造冠」とも呼ばれています。ジルコニアセラミックに比べて透明感は劣りますが、色調や明度は綺麗です。

Before:奥歯全体にわたる銀歯と前歯の着色を自然な色合いにしたいと来院。

After:銀歯はすべてメタルボンド、前歯はラミネートベニアに。

治療費用

メタルボンド ¥80,000/歯

ラミネートベニア ¥80,000/歯

For those who have lost teeth歯を失った方へ

セラミックのブリッジ

歯が抜けたところに行う治療法の1つにブリッジがあります。 保険適応のブリッジは金属修復となり、見た目はよくありません。
ブリッジをセラミックで作製することにより、審美性やお口の機能性の改善を図れます。 また歯垢がつきにくい性質も持っています。

※材質はオールジルコニア、ジルコニアセラミック、レーザーボンドが選択できます。

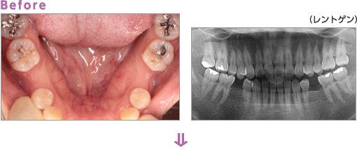
Before:第2小臼歯を抜いてそのままになっていることを主訴に来院。

Treatment:両隣の歯が虫歯になっていたため神経の治療をしました。

Technique:型取りをした模型上でブリッジを作製します。

After:ファイバーコアで歯を補強したあと、ジルコニアセラミックブリッジを装着。

治療費用

ジルコニアセラミック ¥100,000×(支台歯+喪失歯)数

エステショット義歯

部分床義歯のクラスプ部分の見え方を解消する義歯です。 ポリエステル樹脂という特殊な材質を利用し、ノンメタルクラスプ義歯を作製します。
吸水性を抑え、長期的に色調が安定します。
オシャレ感覚で使用することをおすすめしています。

Before:下顎の部分入れ歯の金具の見た目が気になると来院。

After:金属の金具になるところがほとんど目立たなくなりました。

治療費用

エステショット義歯 ¥120,000/床

マグネット義歯

部分入れ歯や総入れ歯のケースで、歯冠の崩壊が著しい歯や少し動揺のある歯を使って、マグネット(磁石)で入れ歯を安定させる方法です。
歯に負担がかかりにくく、最後まで価値のある使い方ができます。
部分入れ歯の場合は、余計なクラスプ(留具)を使用しなくていいため審美性の向上につながります。

Before:左上の小臼歯が動揺し始めたのでマグネット義歯を計画。

Treatment:歯の歯根に磁性金属を装着します。

Technique:入れ歯側には小型磁石を装着します。

After:マグネットのおかげで見た目も良い入れ歯になります。

治療費用

マグネットセット ¥60,000(どちらか片方 ¥30,000)

Implant Treatmentインプラント治療

インプラント治療

“第2の永久歯、手にいれてみませんか?”
歯が抜けたところにチタン製の人工歯根を埋入し、その人工歯根にセラミックの歯を装着する補綴方法です。両隣の歯に頼らずに歯を入れることができます。
また、一本の歯として利用できるため、健康寿命や健口寿命にも大きく関わります。また、歯や歯ぐきとの相性も良く、お身体にとっても優しい治療です。

症例1

Before:先天欠如によって萌出しなかった小臼歯への補綴を希望。

Treatment:人工歯根インプラントを埋入し骨結合期間を待ちます。

After:両側ともジルコニアセラミックを装着し機能回復を行いました。

症例2

Before:右上の前歯が破折のため抜歯となりました。

After:抜歯した歯をインプラントにして審美性の回復を行いました。

治療費用

インプラント(CT・診断・手術) ¥240,000/歯+上部補綴

ジルコニアセラミック ¥100,000/歯

kyousei Treatment歯列矯正治療

セラミックによる矯正

“短期間で劇的に歯並びを変える”
金属の装置を必要とせず、たった数回の来院で気になる歯並びや歯の色・形を綺麗にできます。

症例1

Before:前歯4本の色・形・歯並びを変えたいと来院。

Plan:切歯はジルコニアセラミック、側切歯はラミネートベニアを計画。

After:セラミックの光沢感や綺麗な歯並びが笑顔を引き立てます。

治療費用

ジルコニアセラミック ¥100,000/歯

ラミネートベニア ¥80,000/歯

症例2

Before:前歯2本の出っ歯が気になると来院。

Plan:ジルコニアセラミックを計画し、仮歯で形を決めます。

Treatment:形態を整えて、型取りをします。歯の色を決めます。

After:突出していた前歯は改善され、色や形も綺麗になりました。

治療費用

ジルコニアセラミック ¥100,000/歯

審美レジン修復 約¥1,000(保険適応)

マルチブラケット矯正

歯を削らずに歯列不正を改善する一般的な方法です。歯を削らないため、歯やお口には優しい治療です。以前は目立っていた金属のブラケットも、現在はセラミックブラケットやホワイトワイヤーが普及し、矯正中の見た目も気にならなくなりました。

Before:過剰歯によるスペース不足が原因で出っ歯になっています。

Treatment:過剰歯を抜歯し、セラミックブラケットで矯正します。

After:叢生が改善し見た目も機能も改善しました。

治療費用

セラミックブラケット矯正 ¥300,000~500,000(調整料別途)

Insurance Treatment保険治療

虫歯治療

虫歯治療で感染した象牙質を除去した部位には、コンポジットレジン修復、インレー修復、クラウン修復にて失った歯牙を回復します。保険治療で使用する金属は金銀パラジウム合金を使用します。見た目は良くないですが、機能改善には全く問題ありません。

Before:歯の咬合面と隣接面に虫歯ができている症例です。

Treatment1:最小限侵襲治療の考え方で虫歯を慎重に除去していきます。

Treatment2:感染象牙質を除去できたら型取りをします。

After:保険の金銀パラジウム合金のインレーを装着します。

根管治療

根管治療には、虫歯が神経まで進行した場合に神経を取って治す治療と、なんらかの原因で根の尖端に膿が溜まった根管を除去する治療の2種類があります。
当院の根管治療は、ニッケルチタンファイルを使用し、効率良く根管内を綺麗にしています。

Before:根管の先に膿が溜まり、黒く(透過像)なっています。

Treatment:根管内の感染を起こした組織を除去し、薬剤を填入します。

1 year later:黒いところは白くなり、骨が再生していることを示しています。

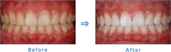
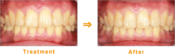
歯周病治療

さまざまな要因を改善することが歯周病治療の始まりです。
まずはカウンセリングやブラッシング指導で生活習慣やセルフケアの改善を行い、超音波やスケーラーなどさまざまな器具を使って歯周病の原因である歯石を取り除いていきます。

Before:歯と歯ぐきの境目に歯垢や歯石が付着し、歯ぐきが赤く腫れています。

Brushing:ブラッシング指導を行い、歯ぐきの腫れを改善します。

Treatment:歯石を取り除くことで、歯ぐきの慢性炎症を消炎します。

After:赤くなっていた歯ぐきは健康なピンク色に改善されています